Ditmars Family Dental | Oral Exams, Crowns and Bonding

Smile Gallery

Ditmars Family Dental | Veneers, Implant Dentistry and Root Canals

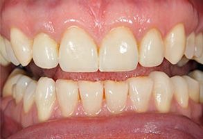
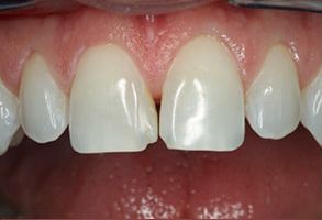
Before

Ditmars Family Dental | Periodontal Treatment, Emergency Treatment and Dentures

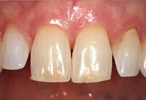
After

Ditmars Family Dental | Dental Bridges, Emergency Treatment and Veneers

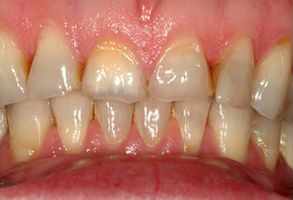
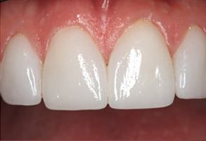
Before

Ditmars Family Dental | Crowns, Full Mouth Reconstruction and Teeth Whitening

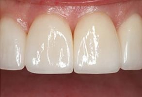
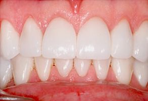
After

Ditmars Family Dental | Veneers, Preventative Program and Emergency Treatment

Before

Ditmars Family Dental | Teeth Whitening, Veneers and Root Canals

After

Ditmars Family Dental | Preventative Program, Periodontal Treatment and Root Canals

Before

Ditmars Family Dental | Dental Bridges, Extractions and Preventative Program

After

Ditmars Family Dental | Emergency Treatment, Oral Exams and Bone Grafts

Before

Ditmars Family Dental | Periodontal Treatment, Emergency Treatment and Implant Dentistry

After

Ditmars Family Dental | Root Canals, Removable Dental Prostheses  and Crowns

Before

Ditmars Family Dental | Preventative Program, Bone Grafts and Teeth Whitening

After

Ditmars Family Dental | Removable Dental Prostheses , Dental Bridges and Veneers

Before

Ditmars Family Dental | Crowns, Dental Bridges and Periodontal Treatment

After

Ditmars Family Dental | Root Canals, Preventative Program and Bonding